
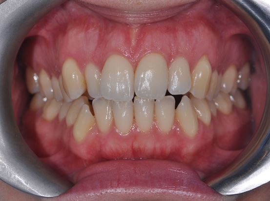
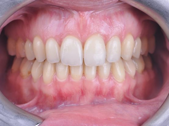
Dr. David Black may recommend Invisalign® clear aligners to help you work towards a straighter, healthier, and more beautiful smile without covering the natural beauty of your teeth. This nearly invisible orthodontic treatment offers a comfortable and effective alternative to traditional braces so that you can achieve the smile you have always wanted. To learn more about Invisalign clear aligners in York, Pennsylvania, and schedule a consultation with our skilled dentists, call Red Lion Dental today at 717-246-1085.
What Are Invisalign Clear Aligners?
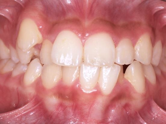
Invisalign clear aligners are a type of orthodontic treatment. Unlike traditional braces, which rely on a system of wires, brackets and bands, Invisalign treatment uses custom-made, clear plastic aligners to move your teeth into their ideal positions. This is a great option for patients who are looking for a more discreet option to straighten their teeth and improve their smile.
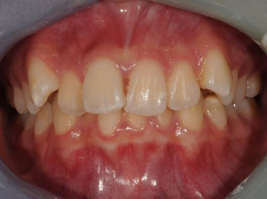
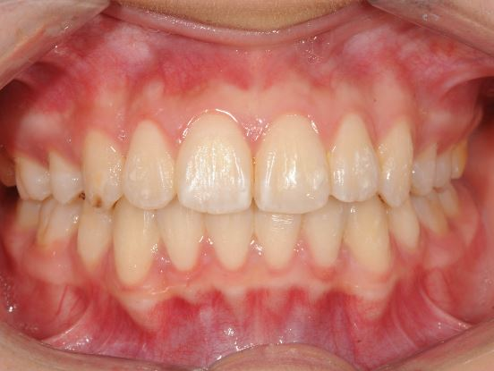
Invisalign clear aligners can treat all the same issues as regular braces, including:
- Crowded and crooked teeth
- Gapped and spaced teeth
- Bad bites (such as overbites, open bites, underbites or crossbites)
How Does Invisalign Treatment Work?
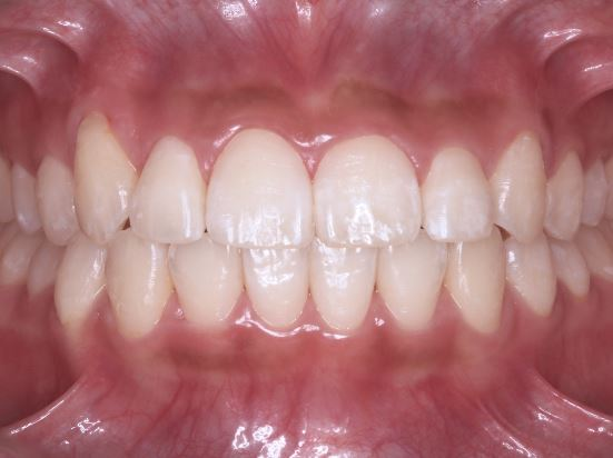
Your Invisalign treatment begins with a consultation, during which our dentists will evaluate your mouth to determine the positions if your teeth and whether Invisalign clear aligners are right for you. Our dentists will then create an individualized treatment plan for you. This treatment plan is mapped out digitally to ensure precise tooth movement, and your aligners are custom-designed and computer-generated to ensure they fit your teeth and mouth perfectly. Each set of aligners makes small, precise adjustments to the positions of your teeth, and as you switch to new sets of aligners your smile will gradually become properly aligned. You will wear your aligners for 20 to 22 hours each day, switching to new sets of aligners every few weeks as directed by our dentists.
What Are The Benefits of Invisalign Treatment?
Invisalign clear aligners offer many benefits, including:
- A nearly invisible treatment
- Custom-made aligners that are comfortable and will not irritate your mouth
- No metal brackets or wires
- Removable aligners that allow you to brush, floss and eat normally
- A minimally invasive treatment experience that has little impact on your lifestyle


How To Care For Invisalign Aligners
We recommend that you clean your aligners regularly, as dirty aligners will also cause your teeth to appear dirty. You can use the Invisalign® cleaning system, or you can brush them with a toothbrush and rinse them in lukewarm water. Avoid using hot water, as it will warp the plastic of your aligners and ruin them. We also recommend that you avoid chewing gum, smoking, eating, or drinking while wearing the aligners, as this may damage your aligners.


Can I Receive Invisalign Treatment If I Have Had Braces or Other Dental Work?
Of course! Many people choose to receive a combination treatment using both braces and Invisalign aligners, and patients who have received braces in the past can use Invisalign aligners if their teeth sift out of position. You can also receive Invisalign treatment if you have had veneers or crowns placed in the past.
What Happens After Completing Invisalign Treatment?
After you complete your treatment and your teeth are aligned, our dentists will provide you with a retainer. This retainer will help keep your teeth in their correct positions to prevent any regression and make your newly straightened smile permanent. Our dentists and team will provide instructions on wearing and caring for your retainer when you receive it.


Invisalign and the Invisalign logo, among others, are trademarks of Align Technology, Inc., and are registered in the U.S. and other countries.