See what is possible for your smile here at Red Lion Dental! Our dedicated dentists and team enjoy helping patients live with a healthier smile and are excited to do the same for you. Give us a call today at 717-246-1085 to schedule a consultation with Dr. David Black and learn more about comprehensive dentistry in York, Pennsylvania.
Dental Fillings


We replaced an old silver amalgam filling with a natural-looking composite, restoring the tooth’s strength and blending seamlessly with the surrounding enamel.


An old metal filling was removed and replaced with a durable, tooth-colored composite offering a cleaner, more natural look.


We replaced an old filling due to poor shade match and staining around the edges. The new composite blends naturally with the tooth for a cleaner, more seamless result.


This old filling had a chip, staining, and early signs of decay. We removed the damaged material and placed a new composite filling to restore the tooth’s strength and appearance.


We replaced a filling that was too light and no longer matched the tooth. The surrounding enamel was beginning to chip with early decay. A new, well-matched composite was placed to restore both function and aesthetics.


We restored several teeth with composite fillings to address decalcification, staining, and early signs of decay leaving the smile healthier and more even in appearance.


We removed an old amalgam filling that had recurrent decay underneath and replaced it with a tooth-colored composite restoring the tooth’s health and natural appearance.
Dental Veneers


We placed composite veneers to close the gap between the front teeth, creating a more balanced and confident smile all in a single visit.


We transformed this smile with ceramic veneers, improving the overall shape, color, and alignment of the teeth for a brighter, more harmonious look
Dental Implants


We restored this patient’s smile by replacing a missing front tooth with a dental implant. The custom crown blends naturally with the surrounding teeth bringing back both confidence and function.


We restored this patient’s smile by replacing a missing front tooth with a dental implant. The custom crown blends naturally with the surrounding teeth bringing back both confidence and function.
Teeth Whitening


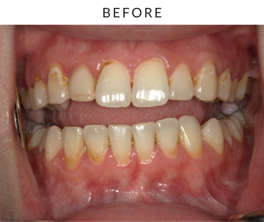
This patient had moderate buildup and staining along with inflamed gums. We performed a detailed cleaning to remove plaque and calculus, helping reduce inflammation and improve overall oral health.


This patient had mild calculus but significant staining. We completed a thorough cleaning to remove buildup and restore a cleaner, brighter appearance while supporting gum health.
Invisalign


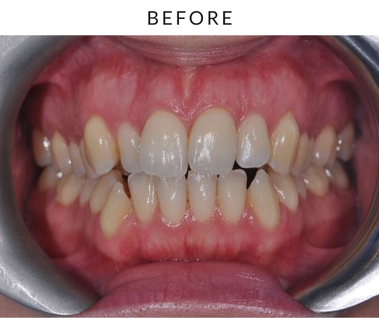
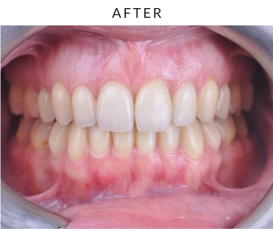
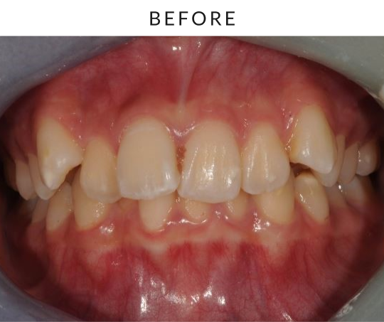
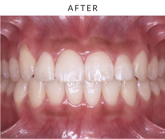
This patient had a Class III bite with edge-to-edge alignment. Through customized Invisalign treatment, we corrected the bite and improved overall alignment—creating a more functional and balanced smile.


This patient presented with a Class II bite, deep overbite, and extruded canines. Invisalign was used to gradually align the teeth, correct the bite, and create a more even, natural-looking smile.


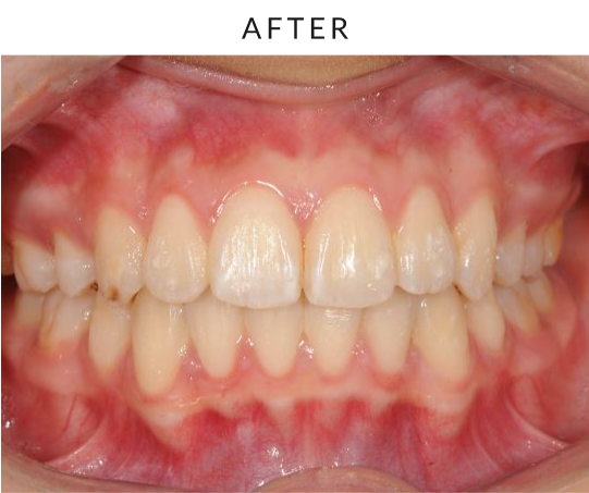
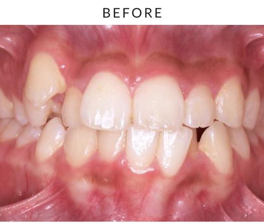
This patient had a Class III bite with edge-to-edge alignment and a crossbite. Invisalign aligners were used to improve the bite, align the teeth, and create a more functional and balanced smile.


This patient had an open gap between the front teeth and a misaligned bite. Invisalign treatment was used to close the gap and guide the bite into a healthier, more stable position.


We first aligned this patient’s teeth with Invisalign, then used composite veneers to refine the shape and enhance the overall appearance resulting in a straighter, more polished smile.


We first aligned this patient’s teeth with Invisalign, then used composite veneers to refine the shape and enhance the overall appearance resulting in a straighter, more polished smile.
Dentures


This patient was experiencing severe tooth loss and discoloration. With custom full dentures, we restored her smile, function, and confidence giving her a natural, comfortable result she loves.


Scaling and Root Planing (SRP)


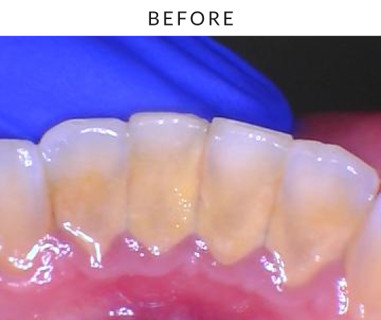
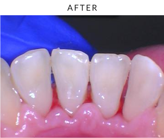
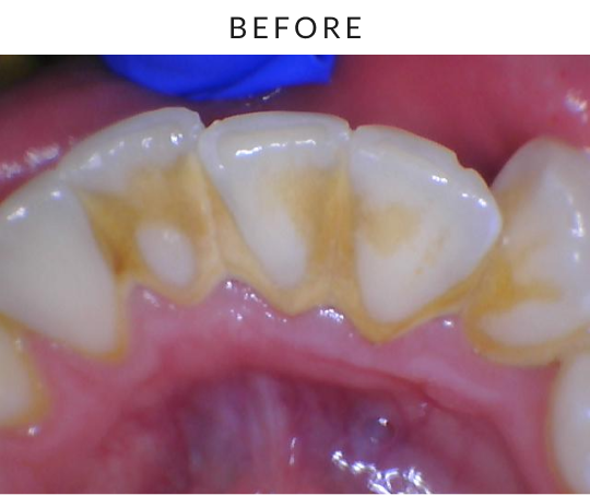
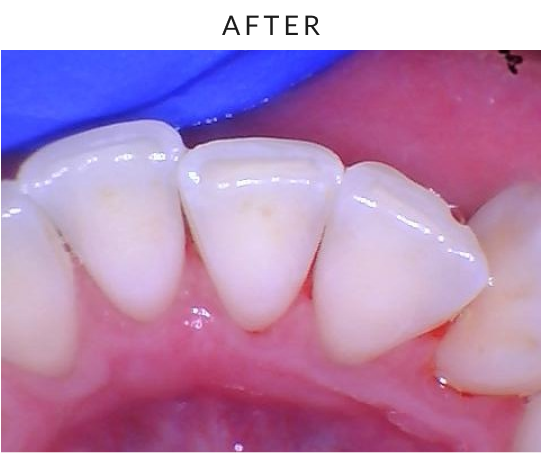
This patient presented with calculus buildup, surface staining, and inflamed gums. A comprehensive cleaning was performed to remove the deposits and support healthier gums and a cleaner smile.


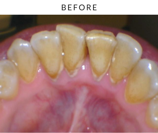
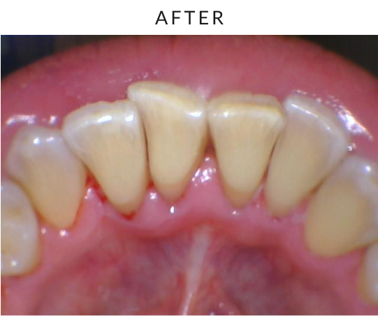
This patient had calculus and staining on the lower front teeth. We performed a detailed cleaning to remove the buildup, revealing a cleaner, healthier smile and supporting gum health.


This patient had heavy surface staining and mild calculus buildup. A thorough cleaning helped brighten the teeth and reduce inflammation, promoting a healthier, fresher smile.


This patient had significant calculus buildup around a permanent lower retainer. We carefully removed the deposits to improve gum health and restore a cleaner appearance to the lower front teeth.


This patient presented with visible plaque and calculus buildup. A comprehensive cleaning was performed to remove the deposits and support healthier gums and a cleaner overall smile.


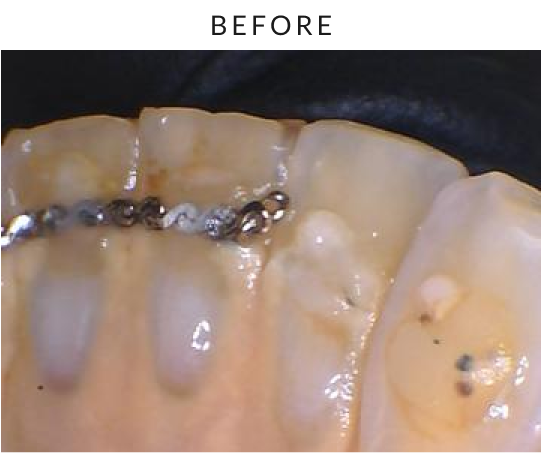
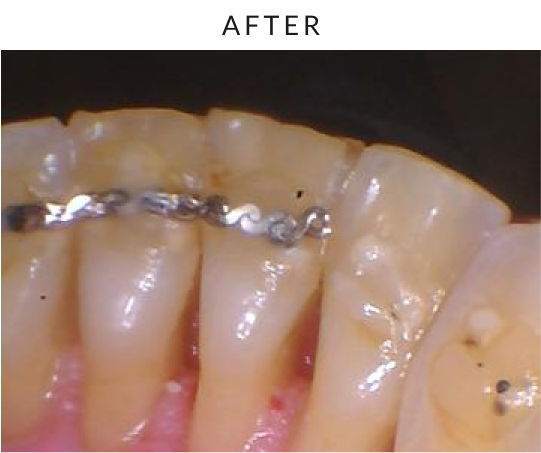
This patient had significant calculus buildup around a lower lingual retainer. With a thorough scaling and root planing (SRP), we removed the hardened deposits and restored a healthier foundation for the gums and teeth.